全国统一客服电话:400-028-9892
解决方案
体外诊断 (IVD) 解决方案 - 斯博利康
Precision Diagnostics Laboratory
IVD 核心原料与病理诊断专家

精准诊断,始于优质核心原料

从高纯度重组蛋白到临床级免疫组化试剂,斯博利康为体外诊断行业提供全链路的高品质解决方案。

🔬

研发级创新

源头技术攻克核心原料卡脖子难题

🏥

临床级合规

一类医疗器械备案与 ISO 13485 认证

⚙️

工业级稳定

千升大罐发酵保障批次间高度一致

IVD 核心原料解决方案

Recombinant Human Albumin Structure

重组人血白蛋白 (rHSA)

斯博利康自主研发的药用级重组人血白蛋白,来源于酵母或水稻表达系统,完全杜绝血源性病原体污染风险,是各类诊断试剂的理想保护剂与稳定剂。

  • 无动物源成分 (AOF):消除 BSE/TSE 风险,合规出口全球。
  • 高纯度 (>99%):低内毒素,不干扰酶活与抗原抗体反应。
  • 超强稳定性:显著延长冻干粉针与液体试剂的保质期。
申请样品测试 →
HEK293 and CHO Cell Culture

HEK293 & CHO 细胞培养基

专为诊断用抗原与抗体生产设计的无血清培养基体系。无论是瞬时转染表达重组抗原,还是稳定株生产单克隆抗体,均能实现行业领先的表达量。

  • 高密度悬浮培养:支持细胞密度突破 10^7 cells/mL。
  • 宿主蛋白 (HCP) 低:下游纯化工艺简单,回收率高。
  • 化学成分限定 (CD):批次差异极小,保障试剂盒性能稳定。
下载技术白皮书 →

病理科免疫组化 (IHC) 解决方案

持有第一类医疗器械备案凭证,全面覆盖肿瘤病理诊断需求

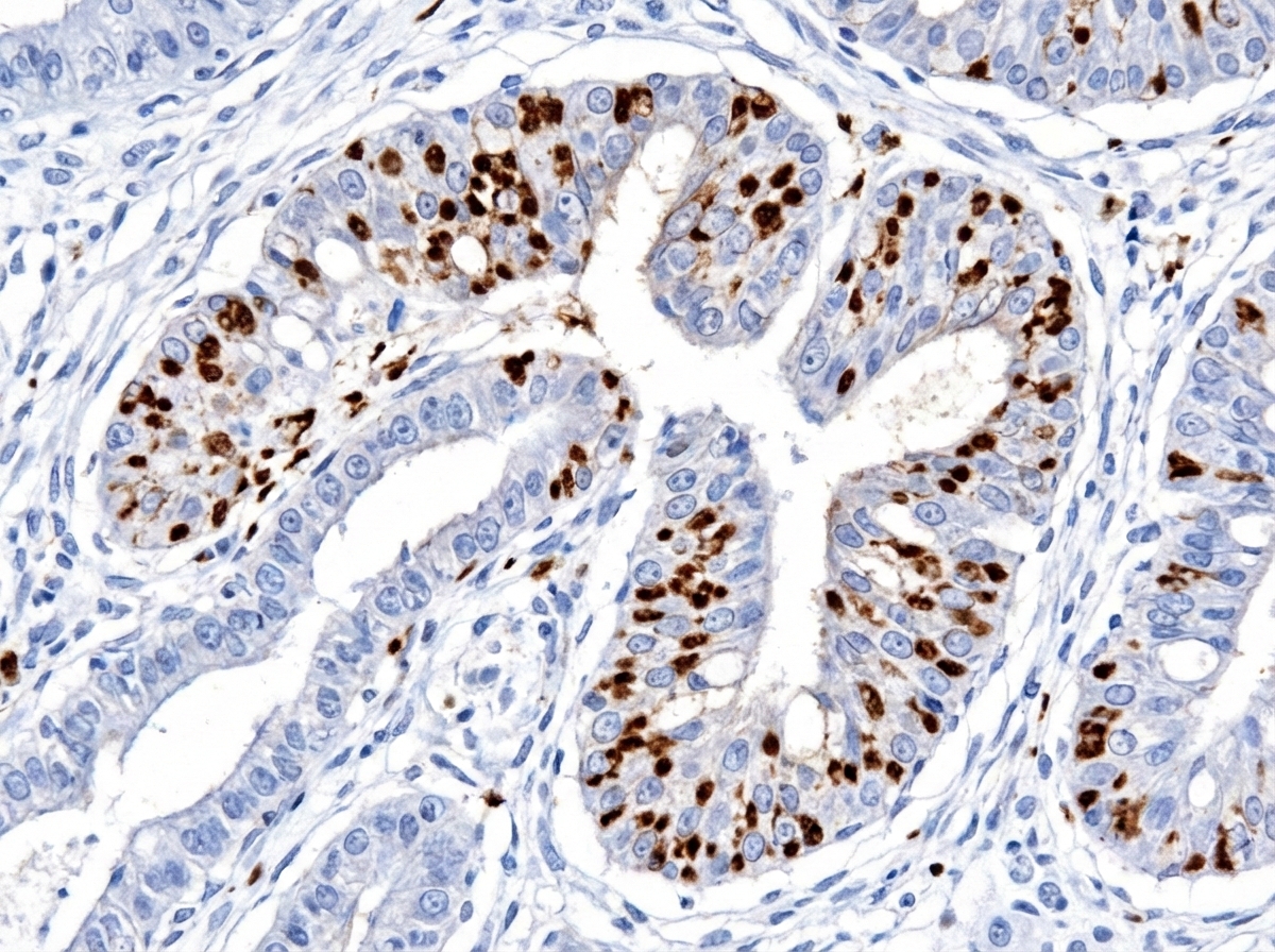
IHC Staining Result
Her-2 染色效果 (3+) Ki-67 指数分析
🔍

高特异性与灵敏度

采用新一代兔单抗技术,背景清晰,定位准确,杜绝非特异性染色干扰。

🤖

主流平台全兼容

完美适配 Roche, Leica, Dako 等主流全自动免疫组化染色机,无需改变现有操作程序。

📜

全面资质认证

全系产品均获得第一类医疗器械备案凭证,合规进入医院病理科临床使用。

致力于为临床提供最可靠的诊断依据,我们的质量管理体系已通过 ISO 13485 认证。
ISO 13485 NMPA Filed CE Marked

寻找高性能的诊断试剂原料?

无论是 IVD 试剂盒开发还是病理科室建设,我们都能为您提供专业的支持。

微信关注

联系我们

请联系我们中国各区域负责人
点击联系

邮件:support@sperikon.com
微信公众号:斯博利康

请联系我们各地负责人:

点击此处